전후사진 9 페이지

본문 바로가기
전체메뉴열기
전체메뉴열기

Total 61건 9 페이지

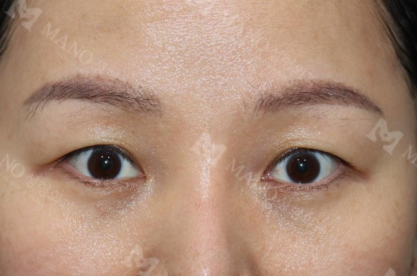
상안검눈매교정

  • 상안검눈매교정

  • 상안검눈매교정+눈밑지방재배치/이식

  • 눈매교정(절개)[재]

  • 상안검눈매교정+ 하안검성형술

검색

Contact us
상담문의
02.543.1100
주소
서울특별시 서초구 강남대로 605 휴먼타워 14층
진료시간
평일 AM 10:00 ~ PM 07:00
토요일 AM 10:00 ~ PM 04:00
일요일 및 공휴일 휴진

그누보드5

마노성형외과의원 | 서울특별시 서초구 강남대로 605 휴먼타워 14층
사업자등록번호 : 339-52-00585 | 전화 : 02-543-1100 | 이메일 : mano_ps@naver.com

[보기]